1 of 4
本產品 | 07-819 | 04-894 | 07-278 |
|---|---|---|---|
| biological source rabbit | biological source rabbit | biological source rabbit | biological source rabbit |
| clone polyclonal | clone polyclonal | clone D1W, monoclonal | clone polyclonal |
| species reactivity mouse, human | species reactivity human | species reactivity mouse, human | species reactivity human, mouse |
| antibody form purified antibody | antibody form affinity isolated antibody | antibody form culture supernatant | antibody form purified antibody |
| shipped in dry ice | shipped in dry ice | shipped in dry ice | shipped in dry ice |
| UniProt accession no. | UniProt accession no. | UniProt accession no. | UniProt accession no. |
一般說明
200-230 kDa
免疫原
(...FHpYDN...) in which pY corresponds to phosphorylated tyrosine at residue 1214 of human KDR/VEGFR2. Tyr1214 of human KDR corresponds to Tyr1212 in the mouse protein.
應用
Anti-phospho-KDR/Flk-1/VEGFR2 (Tyr1214) Antibody detects level of phospho-KDR/Flk-1/VEGFR2 (Tyr1214) & has been published & validated for use in WB.
Research Category
Signaling
Signaling
Research Sub Category
Growth Factors & Receptors
Growth Factors & Receptors
生化/生理作用
phospho-KDR/VEGFR2 (Tyr1214)
外觀
Protein A purified
0.1M Tris-glycine, pH 7.4, 0.15M NaCl,0.05% sodium azide before the addition of glycerol to 30%
Format: Purified
準備報告
2 years at -20°C
分析報告
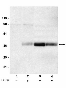
routinely evaluated by immunoblot RIPA lysates from porcine aortic endothelial cells expressing human CSF-1R/murineVEGFR-2 chimera
法律資訊
UPSTATE is a registered trademark of Merck KGaA, Darmstadt, Germany
免責聲明
Unless otherwise stated in our catalog or other company documentation accompanying the product(s), our products are intended for research use only and are not to be used for any other purpose, which includes but is not limited to, unauthorized commercial uses, in vitro diagnostic uses, ex vivo or in vivo therapeutic uses or any type of consumption or application to humans or animals.
未找到適合的產品?
試用我們的產品選擇工具.
儲存類別代碼
10 - Combustible liquids
水污染物質分類(WGK)
WGK 1
分析證明 (COA)
輸入產品批次/批號來搜索 分析證明 (COA)。在產品’s標籤上找到批次和批號,寫有 ‘Lot’或‘Batch’.。
V Dayanir et al.
The Journal of biological chemistry, 276(21), 17686-17692 (2001-03-30)
Activation of vascular endothelial growth factor receptor-2 (VEGFR-2) plays a critical role in vasculogenesis and angiogenesis. However, the mechanism by which VEGFR-2 activation elicits these cellular events is not fully understood. We recently constructed a chimeric receptor containing the extracellular
Michael J Donovan et al.
European journal of cancer (Oxford, England : 1990), 45(8), 1518-1526 (2009-03-11)
To identify clinical and biometric features associated with overall survival of patients with advanced refractory non-small-cell lung cancer (NSCLC) treated with gefitinib. One hundred and nine diagnostic NSCLC samples were analysed for EGFR mutation status, EGFR immunohistochemistry, histologic morphometry and
Substitution of C-terminus of VEGFR-2 with VEGFR-1 promotes VEGFR-1 activation and endothelial cell proliferation.
Meyer, Rosana D, et al.
Oncogene, 23, 5523-5531 (2004)
Preclinical activity of ABT-869, a multitargeted receptor tyrosine kinase inhibitor.
Albert, DH; Tapang, P; Magoc, TJ; Pease, LJ; Reuter, DR; Wei, RQ; Li, J; Guo, J; Bousquet et al.
Molecular Cancer Therapeutics null
Phosphorylation of Akt and ERK1/2 is required for VEGF-A/VEGFR2-induced proliferation and migration of lymphatic endothelium.
Dellinger, MT; Brekken, RA
Testing null
Active Filters
我們的科學家團隊在所有研究領域都有豐富的經驗,包括生命科學、材料科學、化學合成、色譜、分析等.
聯絡技術服務


